Super-specialist radiologists. Super-specialist rates. Take the AI interview
Clinical Evidence Chest X-Ray

Autonomous AI System for Multi-Pathology Detection in Chest X-Rays

A multi-site study across 17 Indian healthcare systems

By Kalyan Sivasailam, Founder & CEO
Chest X-ray with AI-detected pathology overlays showing consolidation, endotracheal tube, and pleural effusion annotations

TL;DR

5C Network's autonomous chest X-ray AI detects 84 pathologies with 98% precision and 95% recall, achieving a mean AUC of 0.97 across all findings. Trained on 5 million+ CXRs and validated across 17 healthcare systems — including government hospitals, private facilities, and diagnostic centers — the system performs consistently across patient demographics, equipment manufacturers, and machine types. Three pathologies achieved perfect 1.00 AUC. No pathology scored below 0.95.

84
Pathologies Detected
across chest X-rays
0.97
Mean AUC Score
across all pathologies
98%
Precision
low false positive rate
5M+
Training CXRs
multi-site Indian data

What makes this study different?

Comprehensive Pathology Coverage

Detects 84 chest X-ray pathologies across 8 clinical categories — from fractures and foreign bodies to infections and pleural conditions.

Multi-Site Validation

Trained on 5M+ CXRs from varied Indian healthcare settings, capturing diverse demographics, equipment manufacturers, and imaging protocols.

Real-World Clinical Impact

Deployed in 17 large healthcare systems. Reduces turnaround time and improves diagnostic accuracy in underserved facilities with limited radiology coverage.

High Diagnostic Accuracy

98% precision and 95% recall across all pathologies. Zero pathologies below 0.95 AUC. Three pathologies achieved a perfect 1.00 AUC score.

How does the AI pipeline work?

A six-stage pipeline processes each chest X-ray from raw DICOM to annotated findings

1

DICOM Ingestion

Raw DICOM images converted to standardized format using pydicom

2

Validity Check

Automated verification that the image is a valid chest X-ray

3

View Identification

PA/AP/lateral view classification and rotation correction

4

Normal vs Abnormal

Vision Transformer with ensembling classifies the study

5

Pathology Detection

Faster R-CNN localizes and identifies abnormalities

6

Pathology Segmentation

U-Net family (Attention U-Net, U-Net++, Dense U-Net) generates precise contours

AI pipeline architecture flowchart: DICOM ingestion, validity check, view identification, Vision Transformer classification, Faster R-CNN detection, U-Net segmentation

End-to-end architecture: Vision Transformer for classification, Faster R-CNN for detection, U-Net family for segmentation

What does AI-detected pathology look like?

Eight examples of AI-annotated chest X-rays with color-coded pathology overlays

Chest X-ray with AI-detected Bronchiectasis highlighted
Bronchiectasis
Chest X-ray with AI-detected Calcified Nodules highlighted
Calcified Nodules
Chest X-ray with AI-detected Cavity highlighted
Cavity
Chest X-ray with AI-detected Clavicle Fracture highlighted
Clavicle Fracture
Chest X-ray with AI-detected Consolidation highlighted
Consolidation
Chest X-ray with AI-detected Foreign Body (Chemoport) highlighted
Foreign Body (Chemoport)
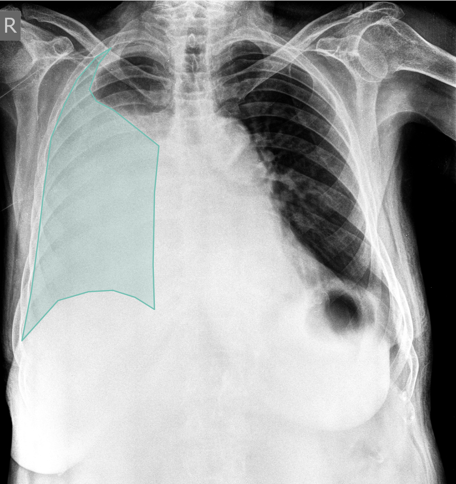
Chest X-ray with AI-detected Pleural Effusion highlighted
Pleural Effusion
Chest X-ray with AI-detected Pneumothorax highlighted
Pneumothorax

How does each pathology perform?

AUC (Area Under the Curve) scores for all 75 evaluated pathologies, grouped by clinical category. All pathologies score 0.95 or higher.

Mean AUC: 0.97
Perfect scores (1.00): 3
Above 0.99: 18
Minimum AUC: 0.95

AUC (Area Under the ROC Curve) measures diagnostic accuracy. 1.00 = perfect classification. All bars scaled from 0.90 to 1.00.

Does the AI perform equally across patient groups?

Subgroup analysis confirms consistent accuracy across demographics and equipment

By Age Group

Under 18
0.903
18–40
0.986
40–60
0.972
60–75
0.932
75+
0.885

By Gender

Male
0.986
Female
0.979

By Equipment Manufacturer

GE Healthcare
0.950
Siemens
0.967
Philips
0.921
Other
0.934

By Machine Type

CR (Computed Radiography)
0.978
DR (Digital Radiography)
0.969

How does performance compare across facility types?

Consistent diagnostic accuracy across all healthcare settings, with minimal variance between facility types

Facility Type Performance Consistency
Government Hospitals High Stable across pathologies
Large Private Hospitals High Stable across pathologies
Small & Medium Private Hospitals High Stable across pathologies
Diagnostic Centers High Stable across pathologies

Radar chart analysis shows near-identical performance curves across all four facility types, confirming generalizability.

"What differentiates this study from most radiology AI research is the validation across 17 real healthcare systems, not curated datasets. The consistent performance across government hospitals, private facilities, and diagnostic centers shows that the model generalizes to the conditions where it actually needs to work."

Kalyan Sivasailam

Founder & CEO, 5C Network

Frequently Asked Questions

Explore the AI behind these results

Meet Bionic, the AI co-radiologist that reads scans for 1,500+ hospitals. Read our published research or see implementation results from real facilities.